انت تتابع الان خبر فريق طبي بجامعة بني سويف ينجح في إصلاح اعوجاج بالعمود الفقري لأحد المرضى حصرياً والان نترككم مع التفاصيل
عدن - هند جمال - أعلن الدكتور طارق على ، القائم بأعمال رئيس جامعة بني سويف، نجاح فريق طبي بقسم جراحة المخ والأعصاب بكلية الطب في إصلاح اعوجاج في العمود الفقري لأحد المرضى، وهو ما يُعد علامة بارزة في مسيرة القسم نحو تقديم خدمة طبية متقدمة، وذلك تحت إشراف الدكتور هاني حامد عميد كلية الطب، والدكتور عماد البنا المدير التنفيذي للمستشفيات.
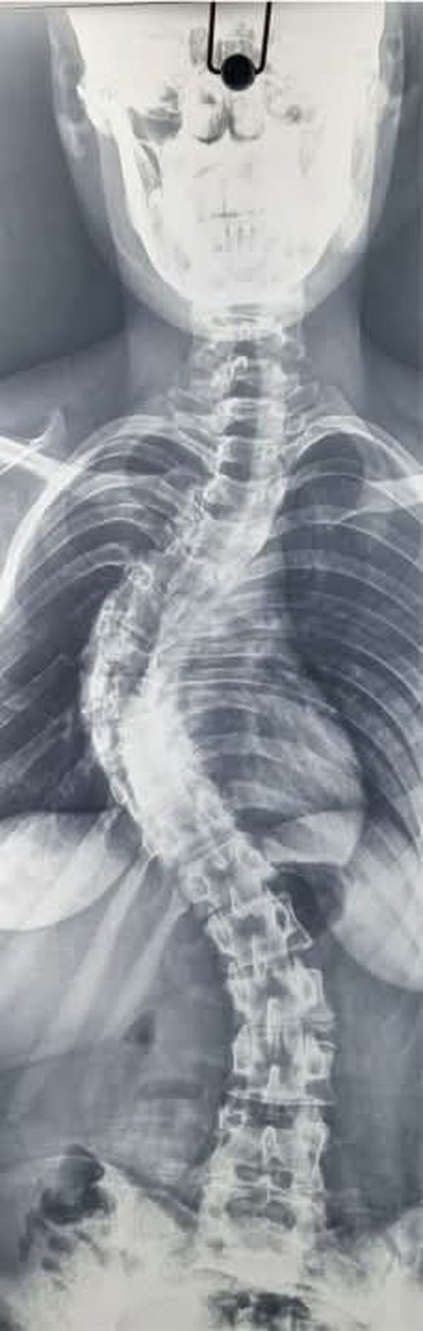
فريق طبي بجامعة بني سويف ينجح في إصلاح اعوجاج في العمود الفقري
جانب من العملية الجراحية
وأوضح رئيس جامعة بنى سويف، أن الفريق الطبي الذى أجرى العملية الجراحية إصلاح اعوجاج في العمود الفقري لأحد المرضي، ضم الدكتور محمد شعبان محمود، أستاذ ورئيس القسم، والدكتور عبدالرحمن صابر المسؤول عن متابعة جراحات اعوجاج العمود الفقري، وبمشاركة كل من الدكتور مصطفى فكري و الدكتور محمود رمضان.
مستشفى جامعة بنى سويف
جانب من العملية الجراحية
و هنأ رئيس الجامعة الفريق الطبي على هذا الإنجاز الطبي المتميز، الذي يُعد نموذجًا مشرفًا لما يمكن أن تقدمه الكفاءات الجامعية من خدمات صحية متقدمة، لافتاً إلى أن إجراء هذا النوع من العمليات التدقيقية يعكس مستوى التطور الذي وصلت إليه المستشفى الجامعي من حيث الإمكانيات البشرية والتقنية، مؤكدا حرص الجامعة الدائم على دعم كل الجهود التي تساعد في رفع جودة الخدمات المقدمة للمواطنين.
