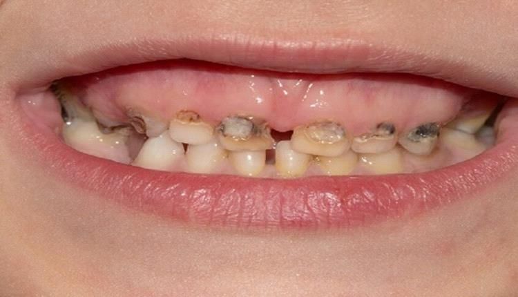
ان الان تتابع ترند اليوم ويتحدث عن تسوس أسنان الأطفال...سبب لا تتوقعه ! والان مع التفاصيل
زهرة اسماعيل - الرياض - السبت/04/أبريل/2026 - 10:29 ص
شهدت عاصمة محافظة لحج، مدينة الحوطة، رفع صورة الرئيس عيدروس الزبيدي، في خطوة رمزية عبّر من خلالها مواطنون عن دعمهم وتأييدهم لقيادة المجلس الانتقالي ال
السبت/04/أبريل/2026 - 03:40 ص
أفادت مصادر ميدانية ، بأن قوات اللواء الثاني دفاع شبوة تمكنت من إحباط محاولة تسلل نفذتها عناصر حوثية باتجاه مواقعها في جبهة مرخة العليا. وأكدت المصادر
الجمعة/03/أبريل/2026 - 11:55 م
أصدرت الجمعية الوطنية للمجلس الانتقالي الجنوبي بيان إدانة واستنكار العمل الإجرامي الغادر الذي استهدف رئيس الهيئة التنفيذية للقيادة المحلية للمجلس الان
الجمعة/03/أبريل/2026 - 10:01 م
شهد اليوم الـ34 من الصراع الإقليمي المتصاعد بين الولايات المتحدة وإسرائيل من جهة، وإيران وحلفائها من جهة أخرى، تصاعدًا ملحوظًا في العمليات العسكرية عل
